Passer au contenu principal
HistoVég
HistoVég
Accueil
Histologie : définitions
Histologie des Trachéophytes
Tissus de protection
Tissus de protection primaire
L'épiderme
Photothèque épiderme
Le rhizoderme
L'exoderme
Tissus de protection secondaire
Tissus fondamentaux
Les parenchymes
Tissus de soutien
Collenchyme
Sclérenchyme
Les tissus sécréteurs
Photothèque : les tissus sécréteurs
L'endoderme et le péricyle
Tissus conducteurs
Le xylème
Le phloème
Xylème primaire/phloème primaire
Représentations conventionnelles des tissus
Différence entre un dessin et un schéma
Anatomie des Angiospermes
Les tiges des Angiospermes
Les tiges de Monocotylédones
Photothèque : tiges Monocotylédones
Les tiges de Dicotylédones sensu lato
Photothèque : tiges Dicotylédones sensu lato
Les feuilles des Angiospermes
Feuilles de Monocotylédones
Photothèque : feuilles Monocotylédones
Feuilles de Dicotylédones sensu lato
Photothèque : feuilles Dicotylédones sensu lato
Les racines des Angiospermes
Les racines des Monocotylédones
Photothèque : racines Monocotylédones
Les racines de Dicotylédones sensu lato
Photothèque : racines Dicotylédones sensu lato
Base de reconnaissance tige-feuille-racine
Anatomie des fleurs
Photothèque : fleurs Monocotylédones
Photothèque : fleurs Dicotylédones sensu lato
Base Angiospermes
Anatomie des Gymnospermes
Les tiges des Gymnospermes
Photothèque : tiges de Gymnospermes
Les feuilles des Gymnospermes
Photothèque : feuilles de Gymnospermes
Les racines des Gymnospermes
Photothèque : racines de Gymnospermes
Reproduction des Gymnospermes
Photothèque reproduction des Gymnospermes
Adaptations des Trachéophytes
Halophytes
Photothèque halophytes
Aquaphytes
Photothèque hydrophytes
Photothèque amphiphytes
Photothèque hélophytes
Les xérophytes
Les sclérophytes
Photothèque sclérophytes
Les succulentes
Photothèque succulente
Organes de réserves
Photothèque organes de réserves
Epiphytisme
Photothèque épiphytisme
Lianescence
Photothèque lianescence
Plantes carnivores
Anatomie des Trachéophytes à spores libres
Les tiges de Trachéophytes à spores libres
Photothèque : tiges de Trachéophytes à spores libres
Les feuilles de Trachéophytes à spores libres
Photothèque : feuilles de Trachéophytes à spores libres
Les racines de Trachéophytes à spores libres
Photothèque : racines de Trachéophytes à spores libres
Reproduction de Trachéophytes à spores libres
Photothèque : reproduction de Trachéophytes à spores libres
Autres sujets
Anatomie de quelques Bryophytes
Photothèque Bryophytes
Quelques illustrations d'Eumycètes
Photothèque eumycètes
Quelques illustrations de Straménopiles
Le talent des étudiants
Les colorants
Les acteurs
A propos
Bibliographie
Sites à visiter
Contact
Rechercher
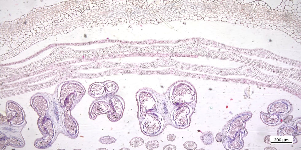
Photothèque : fleurs Dicotylédones
sensu lato
Ovaire de lisianthus
Fleur de pavot